smile makeovers in greenwich, ct
smile makeovers
Rediscover your confidence with a personalized smile makeover—blending artistry and advanced technology to create the smile you’ve always envisioned.

Request An Appointment
Contact Us
We will get back to you as soon as possible.
Please try again later.
Fairfield County's cosmetic dental practice
design your dream smile
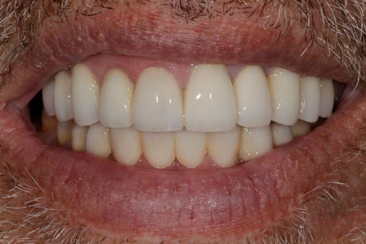
A smile makeover is a fully customized treatment plan that combines multiple cosmetic procedures to enhance the appearance, function, and confidence of your smile. Whether you're addressing discoloration, uneven teeth, or overall harmony, we tailor every detail to your vision. Using advanced technology like Digital Smile Design, we preview your transformation before treatment even begins.
Combines treatments like veneers, whitening, and crowns
Personalized to your facial features and goals
Preview your results before treatment begins
Full TRANSFORMATION
A smile makeover combines multiple treatments to create a complete and cohesive smile upgrade.
DESIGNED FOR YOU
Every makeover is custom-planned based on your facial features, goals, and lifestyle for results that feel authentically you.
BOOSTED CONFIDENCE
With a more balanced and brighter smile, patients often report improved self-esteem and a lasting boost in confidence.
HIGH-TECH PLANNING
Using digital smile design and advanced imaging, we plan your makeover with accuracy, comfort, and stunning aesthetic results.
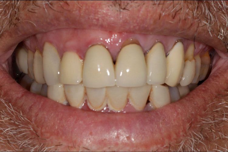
Signs You May Need a Smile Makeover
If you feel self-conscious about your smile or often hide it in photos or conversations, a smile makeover may be the right solution. These feelings are often linked to cosmetic concerns that can be easily corrected with a personalized treatment plan. A smile makeover not only enhances how your smile looks—but how you feel every time you use it.
You might benefit from a smile makeover if:
You're unhappy with your smile's overall appearance
You have multiple issues like discoloration, chips, gaps, or unevenness
You want a long-lasting boost in confidence and facial harmony
What’s Included in a Smile Makeover?
Each smile makeover is completely customized based on your needs, goals, and lifestyle. We may recommend a combination of cosmetic and restorative treatments that work together to achieve a balanced, youthful look. Our advanced digital tools ensure you can preview your results before we begin.
A smile makeover may include:
Porcelain veneers
Teeth whitening
Dental crowns or bonding
Invisalign® or orthodontic refinements
Gum contouring or reshaping
Implant restorations (if replacing missing teeth)
What to Expect from the Smile Makeover Process
The journey begins with a comprehensive consultation where we listen to your goals and assess your smile. We’ll use Digital Smile Design and iTero scanning to create a preview of your transformation, so you can feel confident in your treatment plan. From there, we sequence your appointments and guide you through each phase with clear communication and a seamless experience from start to finish.
Let’s Create a Smile You’re Proud to Share
A smile makeover isn’t just about aesthetics—it’s about confidence, comfort, and living more fully. At Greenwich Dentistry, we combine elite-level cosmetic expertise with cutting-edge technology and personal care. Request an appointment today and take the first step toward the smile you’ve always dreamed of.
Related Services
For more information or to schedule an appointment, call us at (203) 869-2066 or complete the contact form.

Family-Focused Dentistry Backed by Innovation
A Legacy of Trusted Dental Care

Generations of Trust
Over 70 years serving the Greenwich community with personalized, expert care.

A True Family Practice
As a father-and-son team, we bring a personal connection and consistency to every patient relationship.

24/7 Patient Access
Our patients have 24/7 access to us—because your smile doesn’t follow business hours.

Next-Gen Dentistry
From Digital Smile Design to iTero scanning, we deliver precision and comfort with every treatment.



